Wellness
The Kim Kardashian-endorsed MRI scans your entire body.
But what if its findings are only skin-deep?
It has really saved some of my friends lives and I just wanted to share #NotAnAd.

Most reported no significant findings, if they chose to disclose their results at all.
She had surgery to remove it, and required no further treatment aside from annual follow-up scans.
She credits Prenuvo for catching the tumor before it had a chance to spread.

Its certainly why I sought out a scan, but I passed on the photo opp.
Im here to see inside myself, not to be seen.
Founded in 2018, Prenuvo is a venture-backed startup that offers radiation-free, full-body MRIs.

The dream is that one day, well all be getting regular full-body scans much like we do mammograms.
But, if you could afford one, theres no one to stop you from getting it.
My neurologist thought otherwise.

He said it was irrelevant.
The problem is that most of the things dont matter.
Doctors are the experts of The Human Body; patients are the experts of their own bodies.

Who should decide when its right to look?
Prenuvos waiting room is staged with small, spare stacks of books, petite succulents, and unlit candles.
Im told to leave my belongings there.

The entire room will lock behind me.
A woman in a black business suit guides me to the inner sanctum.
How many devices do you encounter in your day-to-day life that deal in the quantum mechanical properties of atoms?

Proton alignment, magnetic fields, radiofrequency pulses.
After I decline the photo, Im strapped into a gurney-like bed.
Some struggle with claustrophobia as theyre backed into the machines throat, slowly swallowed whole.

But I find small spaces comforting.
Even the banging and beeping have a rhythmic, calming effect.
So far, this is standard procedure but what I am struck by is the care.

Post-scan, I was left to peruse a selection of free snacks and beverages.
Its a marked difference from other health procedures Ive had or physicians Ive seen.
My doctors usually appear exhausted and in a terrible rush.

The nurses, too, have bags under their eyes.
Theyre all victims of the insurance system, which demands that typical appointments last just 15 minutes.
Cindy Crawford is an investor.

;Fast Company: What is Prenuvo?
It seems a little less concerned with theexperiencethan the results.
Greedily, I scan through all of the information.
For a moment, I let myself wonder if Ill finally find the One Diagnosis to Rule Them All.
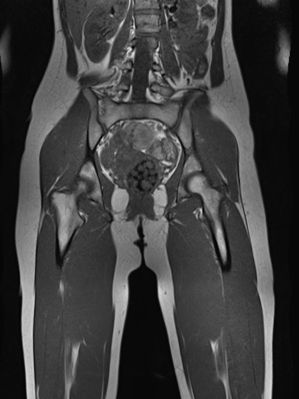
The best part were the images.
My whole body, bisected and laid bare for inspection.
A couple of weeks later, I hop on an unrelated virtual appointment with one of my neurologists.
He doesnt even make a run at hide his exasperation.
If you scan just about anyones spine, he says, youre going to findsomething.
My instinct is that its better to know than not know.
But there are downsides, too.
Ill admit, Ive been more aware of back pain in the past few months than ever before.
Maybe I didnt even have any before I saw that picture of my L5-S1.
Now that image is embedded in my self-perception.
Example scans, courtesy of Prenuvo.
Nor does the American Cancer Society, or National Comprehensive Cancer internet.
Do the benefits outweigh the risks?
Its essentially an unknown.
This allowed it to launch the worlds first 30-minute full-body MRI scan, spine and lungs excluded.
We know that Prenuvo works sometimes, because of stories like Maria Menounos.
An app called Miiskin promises to track moles; Apple Watches can now perform ECGs.
A few weeks ago, I began experiencing chest pain.
It did, for a while.
But the next day, after urging from a virtual urgent care doctor, I went to the ER.
The EKG they recorded was anything but normal.
(Subsequent testing ruled out heart attack, but something really was wrong.)
Why did I think the Apple Watch could help me?
For a good portion of the history of modern medicine, thats always been an issue.
Over the course of my own medical odyssey, evidence-based science has been my guiding light.
If you want, you could see increasingly fringe doctors and all manner of dubiously accredited experts.
The line between medicine and wellness wavers, then recedes entirely.
For those who like being in the drivers seat, this can be a blessing.
Over the past two-ish years, Ive often joked that I should just get a full-body MRI.
It wasnt just a joke, though.
I really wanted one.
Prenuvo brushed aside the red tape and let me right in.
I got to see myself, for myself.
And the doctors were right: Nothing was structurally wrong with me.